DEFORMIDADES REUMATICAS DO PUNHO
A mão e o punho são as 2 zonas mais afectadas pela artrite reumatoide.
Como surgem os sintomas do punho reumatoide?
Os sintomas podem iniciar de uma forma insidiosa ou podem surgir por um surto de inflamação intensa.
Como evolui a doença?
Temos de distinguir 2 formas de atingimento: articular e tendinoso:
Na forma articular a sinovite proliferativa inicia-se a 2 níveis:
1 – na articulação radio-cárpica, profundamente aos ligamentos rádio-escafo-capitato e radio-lunar
2 – no compartimento cubital
1 – no primeiro caso, a sinovite proliferativa vai provocar laxidez dos ligamentos Palmares radio-carpicos com a consequente instabilidade do escafoide e de seguida, da 1ª fileira do carpo. A mesma sinovite é responsável pelas erosões ósseas àquele nível.
Com o evoluir da doença, a articulação radio-cárpica vai-se deteriorando.
Caracteristicamente, na AR, a articulação médio-carpica (articulação entre a 1ª e 2.ª fileira do carpo) é sempre atingida numa fase mais tardia que a radio-carpica.
Os sintomas são a dor, sinais inflamatórios (edema, rubor) e perturbação funcional (fraqueza e rigidez do punho).
Em fases tardias, avançadas podemos assistir a destruição mais ou menos grave do punho, que podem se manifestar de 3 formas distintas:
a) forma desintegraste ou luxante do punho, em que este tem tendência para luxação
b) forma artrósica, em que o punho vai-se degradando progressivamente, mas mantendo alguma mobilidade e sem luxação rádio-carpico
c) Forma anquilosante, em que o punho tem tendência para anquilose (tendência para fixação espontânea do punho, em que o doente vai perdendo progressivamente mobilidade até à imobilidade total.
2 – Na articulação rádio-cubital distal a sinovite proliferativa inicia-se no recesso pre-estiloideu, na cabeça do cúbito.
Esta sinovite rapidamente vai provocar laxidez capsulo-ligamentar, provocando sub-luxação dorsal da cabeça do cúbito. A bainha do tendão extensor cubital do carpo distende-se permitindo a luxação volar deste tendão. A luxação do tendão tem 2 implicações: agravamento da luxação do cúbito e perda da capacidade extensora do referido tendão
Por último, a laxidez induzida pela sinovite atinge e os ligamentos ulno-carpicos volares, permitindo que o bordo cubital da Mão se desalinhe em direção palmar relativamente ao eixo do antebraço. Este duplo desalinhamento (também conhecido por ulna-caput syndrome), em que o cúbito desalinha para dorsal e a mão para palmar, obriga a uma dupla e sinuosa curvatura dos tendões extensores dos dedos. Se a este facto juntar-se a erosão e consequente irregularidade da cabeça do cúbito, constatamos que os tendoes extensores dos dedos ficam em serie risco de rotura.
Realmente, na AR avançada a rotura dos tendoes extensores são frequentes: 1.º rompe o tendão para o 5.º dedo, depois para o 4.º, depois para o 3.º e por último, para o indicador. Estas formas graves e tardias são agora menos frequentes devido à eficácia dos novos medicamentos anti-reumáticos.
Que técnicas se usam para o tratamento cirúrgico do Punho Reumatoide?
Sinovites e tenossinovites resistentes ao tratamento medicamentoso deverão ser submetidas a exerese cirúrgica com o intuito de atrasar a doença osteo-articular e as roturas tendinosas.
A artrite rádio-carpica avançada pode ser tratada com Artrodese do punho (fixação cirúrgica) ou artroplastia total.
Durante várias décadas a artrodese do punho foi efetuada com cravos em aço. Atualmente o método por nós preferido é a fixação com placas e parafusos.

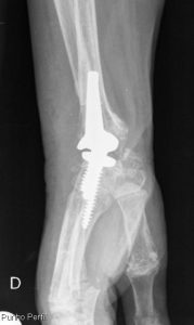
Fig. 35: Artrite Reumatoide com destruição do punho

Fig: 36: Mesmo doente submetido a Artrodese do punho com placa e parafusos
No entanto, na AR, damos preferência à artroplastia total
As primeiras Proteses do punho foram desenvolvidas nos finais das décadas de sessenta.
As primeiras Gerações de Proteses deram alta taxa de complicações, motivo que conferiram má reputação ao implante. O aparecimento da Protese Universal veio resolver o principal problema da prótese: a eficaz fixação do componente carpiano.
As gerações seguintes vieram confirmar os bons resultados a médio e longo prazo.
Desde 2004 temos efectuado Proteses Total do Punho e os nossos resultados confirmam o bom desempenho do procedimento
Atualmente é o nosso procedimento preferido para a maioria dos doentes com artrite rádio-carpica avançada de origem reumática.

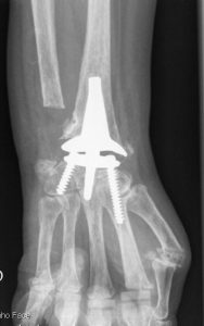
Fig. 37: doente com AR e com próteses MCFs previas dos dedos; Doente com punho reumático e doloroso


Fig. 38 e 39: Mesma doente submetida a Artroplastia total do punho com prótese
A luxação com erosão da cabeça do cúbito é tratada geralmente com a sua exerese (operação de Darrach), associada a ligamentoplastia de estabilização do coto do cúbito. (ver fig. 38)
Lesões tendinosas nas artrites inflamatórias- mão Reumática :
Os tendões podem ser afetados na AR de duas formas:
1 – A doença sinovial pode afetar primariamente os tendões, quer dizer, é o próprio revestimento sinovial dos tendões que hipertrofia e prolifera; estamos perante tenossinovite proliferativa (sinovite tendinosa).
A tenossinovite proliferativa pode atingir quer os tendões extensores, quer os flexores.
O local mais frequente de tenossinovite dos extensores é a face dorsal do punho, manifestando-se como tumefação não inflamatória de tamanho e forma variável; tem como principal característica a mobilização da mesma durante o movimento de flexão e extensão dos dedos (ver fig 40 e 41)
Nalguns casos de AR, a tenossinovite pode provocar roturas tendinosas.
As lesões de maior volume, quando não controladas de forma medicamentosa, geralmente têm indicação para exerese cirúrgica.


Fig 40 e 41: Tenossinovite dorsal do punho
A tenossinovite dos flexores pode localizar-se nos dedos e interferir com a mobilização dos mesmos, ou localizar-se no punho e provocar sintomas de canal carpico. Tem geralmente indicação para exerese cirúrgica.
2 – Os tendoes podem ser afetados secundariamente pela sinovite articular provocando luxações tendinosas (como já vimos atrás, por exemplo, no caso da luxação dos extensores nas articulações MCFs).
Os tendões podem ainda ser afetados por erosões ósseas provocando roturas tendinosas (como vimos atrás, nas roturas dos tendões extensores pela cabeça do cúbito; aliás, trata-se aliás da rotura tendinosa mais frequente na AR (ver figura 42); outros locais de rotura tendinosa são o longo extensor do polegar na face dorsal do rádio, o longo Flexor do polegar, provocado pela erosão da tuberosidade do escafoide. Menos frequentemente, os tendões flexores podem sofrer rotura no canal digital (ou seja, a nível dos dedos) (ver figura 43 e 44 ) .
As roturas tendinosas são tratadas cirurgicamente. De forma geral, a sutura directa não é possível, tornando-se necessário um enxerto ou transferência tendinosa.
Melhor que tratar a rotura tendinosa, será a sua prevenção, quer com tenossinovectomias ou tratar as zonas de erosão óssea que mais frequentemente causam roturas.

Fig 42: rutura de extensores de dedos

Fig 43: rutura de flexores de dedos