Técnicas de Reconstrução dos Nervos Periférico nas Lesões Crónicas – Opções terapêuticas e cronologia da lesão
Curso Teórico-Prático – Sociedade Portuguesa de Cirurgia da Mão – Faculdade de Medicina da Universidade do Porto 6 e 7 de Dezembro de 2019
Reconstrução digital com retalho antebraquial radial em mão traumática
Apresentado no 51º Congresso Brasileiro de Ortopedia e Traumatologia 14 a 16 de Novembro /2019
Princípios gerais do tratamento das perdas de substância da mão – a utilização de retalhos
4ºCurso Teórico-Prático Mão e cotovelo Traumático Porto, 17 e 18 de Janeiro de 2020
A paralisia Cerebral no 8º Congresso Nacional de Ortopedia Infantil – Fevereiro de 2020
Tomou parte ativa neste congresso apresentando o Tema: Abordagem do Membro Superior no Doente com Paralisia Cerebral
4ºCurso Teórico-Prático Mão e cotovelo Traumático – Porto, 17 e 18 de Janeiro de 2020 – ICBAS/CHUP
Mais uma edição do curso teórico prático, que tem tido grande aceitação entre a comunidade Ortopédica/Cirurgia Mão, principalmente os mais novos.as inscrições ficam preenchidas, pouco de pois de serem divulgadas. Este ano incluímos novamente o cotovelo Além de Coordenador da Organização do Curso, apresentou o tema teórico: Princípios do tratamento […]
Artroplastia metacarpofalângica na mão reumatoide: 9 Anos de experiencia com a próteses de Neuflex – 39º Congresso Nacional SPOT Troia – out 2019
39º Congresso Nacional Sociedade Portuguesa de Ortopedia e Traumatologia – out 2019.
X Congresso GEPES e a reparação secundária dos tendões flexores, Sanxenxo, Setembro 2019
Realizou-se em Sanxenxo o X Congresso Gepes (Grupo Estudios Patologia Miembro Superior) nos dias 19 a 21 de Setembro de 2019. Tomou parte ativa no Congresso ao apresentar uma Palestras com o título ”Reparação secundária dos tendões flexores”, em que abordou a reparação das lesões não agudas dos tendões flexores: […]
Congresso SPOP 2019 – Sociedade Portuguesa de Ortopedia Pediátrica
Congresso SPOP 2019 – Sociedade Portuguesa de Ortopedia Pediátrica A patologia do Membro Superior no Adolescente no Congresso Nacional de Ortopedia Infamtil Moderou a Mesa Redonda “Membro Superior do Adolescente ‐ Punho” no 7º Congresso Nacional de Ortopedia Infantil, que se realizou de 21 a 23 de Março de 2019, no Novotel em Setúbal
Traumatologia Desportiva do Punho e Mão – Curso pós-graduado de Medicina Desportiva
Foi convidado para lecionar um tema sobre Traumatologia Desportiva do Punho e Mão incluido no Curso pós-graduado de Medicina Desportiva Porto 9 fevereiro 2019 O tema incidiu principalmente sobre dois tipos de lesões da mão e punho, mais frequentes na prática dos mais variados desportos. 1 – As lesões traumáticas […]
DEFORMIDADE DE MADELUNG
Deformidade de Madelung Convidado para apresentar uma Palestra sobre a Deformidade de Madelung integrada nas Jornadas de Cirurgia da Mão do Hospital CUF Descobertas no dia 19/01/19. É importante deixar claro que Deformidade de Madelung, nada tem a ver com Doença de Madelung. Deformidade de Madelung é uma deformidade do […]
FRATURAS DO ESCAFOIDE NO CURSO SKYMEDICAL – NOV. 2018
As Fraturas do Escafoide no Curso Avançado de Trauma de Membro Superior SKYMEDICAL 8 e 9/NOV/2018. Participou como formador nesta edição do Curso SKYMEDICAL com uma palestra sobre fraturas do escafoide e lecionando a trabalho prático sobre osteossíntese do escafoide com e sem enxerto ósseo.
Cirurgia da Mão no Funchal – Out/2018
Já como tinha acontecido o Ano passado, deslocou-se mais uma vez ao Funchal para participar nalgumas cirurgia da Mão e Punho com Colegas dedicados à área da Cirurgia da Mão do Funchal. As cirurgias realizaram-se no Hospital Central do Funchal. O ano passado tinha realizado, entre outras, uma artroplastia total […]
50º ANIVERSÁRIO da SOCIEDADE PORTUGUESA de CIRURGIA da MÃO
50º Aniversário da Sociedade Portuguesa de Cirurgia da Mão – 28 E 29 de Setembro 2018 Congresso SPOCMA – Desafios da presidência O 25º Congresso da Sociedade Portuguesa de Cirurgia da Mão (SPOCMA) realizado em Lisboa no dia 28 e 29 setembro 2018 Para comemorar o 50º aniversário da sociedade, […]
9º CONGRESSO GEPES (Grupo de Estudo da Patologia da Extremidade Superior), AÇORES, SET/2018
O 9º Congresso GEPES foi realizado em Ponta Delgada, ilha de S. Miguel, Açores O Grupo, tendo no Dr. Carlos Irisarri o seu Grande Mentor e Impulsionador, junta Ortopedistas e Cirurgiões Plásticos ligados à Cirurgia da Mão e do Membro superior dos dois Países da Península Ibérica, Tal como tinha […]
38º Congresso da Sociedade Brasileira de Cirurgia da Mão. As Deformidades Congénitas da Mão em destaque. Agosto/2018
A SPOCMA (Sociedade Portuguesa de Cirurgia da Mão) foi a Sociedade convidada para este Congresso Brasileiro. As Deformidades Congénitas da Mão tiveram um papel de destaque neste Congresso, tendo sido Palestrante convidado em duas Mesas Redondas Modernas: – Deformidades Congénitas da Mão – Hipoplasia do Polegar Fortaleza, Brasil, 16 a […]
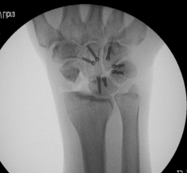
Artrodese intra-Carpica – Curso Medartis – Maio de 2018
Artrodese intra-Carpica – Curso Medartis – Maio de 2018 O Curso Avançado da Mão e Cotovelo Medartis já vai na 3ª Edição. Realizado em 12/5/18 no Instituto Superior de Ciências da Saúde Egas Moniz, na Caparica, no dia. Lecionou o tema teórico e as aulas Práticas das Artrodeses intra-Carpicas.
A Paralisia Obstétrica do Plexo Braquial no Congresso SPOT 2017
A Paralisia Obstétrica do Plexo Braquial no Congresso SPOT 2017 Novamente, a Paralisia Obstétrica do Plexo Braquial foi um dos temas abordados durante o congresso Nacional de Sociedade Portuguesa de Ortopedia e Traumatologia (SPOT) Tive a oportunidade de efetuar a palestra sobre o tema “A cirurgia paliativa na Paralisia obstétrica […]
Curso Avançado Medartis da Mão e Cotovelo, 2017
O Curso Avançado da Mão e Cotovelo Medartis realizou-se no Instituto Superior de Ciências da Saúde Egas Moniz, na Caparica, no dia 20-5-2017 Intreviu neste Curso: 1 – Apresentação de tema teórico “Artrodese Intercárpica” 2 – Monitor de Trabalhos Práticos
O Papel da Microcirurgia na Cirurgia Reconstructiva da Mão
O Papel da Microcirurgia na Cirurgia Reconstructiva da Mão foi tema da palestra apresentado no Curso de Microcirurgia ocorrido em Braga nos dias 13 a 15 de Maio de 2017. Nesta palestra apenas foram abordadas as técnicas de reconstrução de dedos amputados, já que a reconstrução cutânea e nervosa foram […]
A polidactilia na Mesa Redonda de Malformações congénitas da Mão do Congresso Ibero-Americano 2017
A polidactilia, 2ª deformidade congénita mais frequente na Mão foi um dos temas apresentados na Mesa Redonda de Malformações congénitas da Mão, ocorrida no XI Congresso Ibero-Americano de Cirurgia da Mão que se realizou na Costa Rica nos dias 27 a 29 de Abril de 2017 Polidactilia é um termo […]
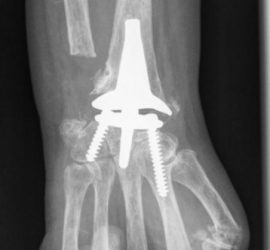
A prótese Total do Punho no Congresso Hispano-Luso de Cirurgia da Mão
Apresentou uma Palestra intitulada “A nossa experiencia com A prótese Total do Punho ” Congresso Espanhol e Hispano-Luso de Cirurgia da Mão, que se realizou em Marbella nos dias 5 a 7 de Abril de 2017. A sua intervenção foi baseada na Casuística da Unidade de Cirurgia da Mão do Hospital Stº […]
Poster Hispano-luso no Congresso Espanhol Cirurgia Mão 2017
O XXIII Congresso da Sociedade Espanhola de Cirurgia da Mão (SECMA), e IV Congresso Hispano-Luso realizou-se em Marbella nos dias 5 a 7 de Abril de 2017. Foi apresentado o poster “mano reumática severa secundária a artritis lúpica” pelos Autores I. Hevia, C. Pérez, J.C. Ferreira da Silva, J.L. Tomé. […]
Melhor Poster no 5º Congresso Nacional e XXII Jornadas de Ortopedia Infantil
O Poster “Transferência de dedo do pé para a mão para reconstrução digital em malformação congénita” foi distinguido com o premio de melhor Poster no 5º Congresso Nacional e XXII Jornadas de Ortopedia Infantil, que se realizou em Lisboa nos dias 24 e 25 de março de 2017. Autores: CLÁUDIA […]
Prótese Total do punho no Hospital da Parede, Cascais
Desde há 12 Anos, A Unidade de Cirurgia da Mão do Hospital de Santo António, tem vindo com regularidade, a efectuar este procedimento cirútgico. Progressivamente, outros Centros de Cirurgia da Mão Portugueses têm vindo a escolher este método para tratamento dos seus Pacientes. A convite dos Colegas Ortopedistas da Unidade […]
Rheumatic hand’s clinical, functional and imagiological correlations following metacarpophalangeal joint silicone arthroplasty.
17-02-2017 – Artigo: Rheumatic hand’s clinical, functional and imagiological correlations following metacarpophalangeal joint silicone arthroplasty. Autores: Sérgio Figueiredo, Ana Lousada, Marta Silva, Luciana Leite, Graça Costa, César Silva Artigo Prospectivo baseado na Experiencia da da Unidade de Cirurgia da Mão do Hospital Santo António Mais um artigo aceite para publicação. […]
Curso Medartis da Mão e Cotovelo 2016
O Curso Avançado da Mão e Cotovelo Medartis realizou-se no Instituto Superior de Ciências da Saúde Egas Moniz, na Caparica. Inicialmente previsto para os dias 11 e 12 de Novembro, realizou-se nos dias 12 e 13. Entreviu neste Curso: 1 – Apresentação de tema teórico “Fratura do escafoide” 2 – […]
Convidado pela Société Française de Chirurgie Orthopédique et Traumatologique
Convidado pela Société Française de Chirurgie Orthopédique et Traumatologique Foi Convidado da SOFCOT para Moderar Mesa de Comunicações Orais durante o 91º Congresso da Sociedade Francesa que se realizou em Paris 8 a 11 de Novembro de 2016
Coordenador da Mesa Redonda Fraturas do Rádio Distal do Congresso SPOT, 2016
As Fraturas do Rádio Distal foi um dos temas fortes do 36º Congresso Nacional de Ortopedia e Traumatologia Teve a Honra de ser convidado pelo Presidente da SPOT (Prof. António Oliveira) para Coordenar a Referida Mesa Redonda Contou com dois ilustres convidados Estrangeiros, O Prof. Michel Levadoux e o Dr. […]
Curso Mão e Cotovelo Skymedical
Realizou-se nos dias 13 e 14 de Outubro no Centro de Anatomia e Cirurgia Experimental – Hospital Escola Universidade Fernando Pessoa. Coordenou os trabalhos versados à Patologia do Punho que decorreram na manha do dia 14. cartaz curso mao stryker
Palestra: A Prótese Total do Punho no 24º Congresso Português de Cirurgia da Mão
O 24º Congresso Português de Cirurgia da Mão irá realizar-se em Peniche nos próximos dias 23 e 24 de Setembro de 2016. Será constituído por duas Mesas Redondas versadas aos Temas: 1 – Mão Queimada 2 – Artroplastias do Punho Contará com várias Conferencias proferidas por Colegas Portugueses e […]
3º Curso Teórico-Prático de Cirurgia da Mão C. H. Porto/ICBAS
Realizado no ICBAS (Instituto Ciências Biomédicas Abel Salazar) – Universidade do Porto nos dias 5 e 6 de Fevereiro de 2016 Treino Cirurgico em Cadaver Diretor do Curso: Dr. César Silva Main sponcer: Acumed Patrocínio Científico: – Sociedade Portuguesa de Ortopedia – Secção do Punho e Mão da Sociedade Portuguesa de […]
Patologia frequente da Mão – Palestra na Sessão Clínica de Ortopedia do Hospital Privado de Gaia, 7 de Novembro de 2015
As Patologias mais frequentes da Mão são apresentadas nesta palestra, dando especial enfâse à semiologia (estudo dos sinais e sintomas), diagnóstico, diagnostico diferencial tratamento conservador e princípios do tratamento cirúrgico. São abordadas as patologias relacionadas com tendões, neuropatias compressivas, tumefações mais frequentes, as artroses da mão e as contracturas dos […]
Fracturas do Rádio Distal e Artrodeses do carpo – palestras em AOTrauma Curso Avançado – Mão e Punho, 05 a 07 de Novembro de 2015 Ericeira
A Marca AOTrauma realiza com regularidade cursos práticos avançados de Cirurgia da Mão. Tem feito parte da Faculty com apresentação de Temas Teóricos e como monitor nos exercícios práticos. No atual Curso coordenou os exercícios de artrodeses radio-cárpicas (total ou parcial) e proferiu as palestras – Fracturas do Rádio Distal […]
A Manha da Mão no 35º Congresso Sociedade Portuguesa de Ortopedia e Traumatologia
A SPOT dedicou uma manha à Seção da Mão durante o seu 35º Congresso Nacional Enquanto coordenador da Seção da Mão da SPOT, coordenou e organizou a “Manha da Mão” do Congresso Nacional da SPOT. Tivemos uma manha dedicada à Cirurgia da Mão que foi composta por: MESA REDONDA AVANÇOS […]
Microsurgery in reconstructive Hand Surgery –palestra em Microsurgical Anastomosis Course, Braga 15 a 17 de Outubro de 2015
Trata-se da 7ª edição de um Curso Pratico em microcirurgia, no qual são expostas várias palestras teóricas versadas ao tema da microcirurgia e as suas aplicações clinicas. Tem feito parte da Faculty deste curso desde a sua primeira edição. Em edições anteriores tinha apresentado o tema Microsurgery in Hand emergency. […]
Curso Teórico-Prático Mão Traumática e Mão Reumatoide – Vila do Conde, 9 e 10 de Julho de 2015
Curso efetuado no Centro Cirurgia Experimental de Vila do Conde, apresentando uma vertente teórica com exposição de palestras relacionadas ao tema, uma vertente prática com treino cirúrgico de técnicas operatótrias em espécimes anatómicas Teve oportunidade de apresentar as palestras: Lesões tendinosas na AR Doença MCF na artrite reumatoide Artroplastias da […]
Anomalias Congénitas do Polegar, Conferencia apresentada no 8ª Congresso Grupo Estudio Patología Extremidad Superior (GEPES) – Viana do Castelo, Maio de 2015
Deformidades Congénitas do Polegar: Tema da Conferencia de Encerramento do VIII CONGRESSO GEPES Nesta Conferencia descrevi as Deformidades Congénitas mais frequentes do Polegar, com especial atenção para a Hipoplasia do Polegar, as Polidactilias (duplicação) do Polegar, Desvios Axiais, Anomalias Tendinosas, Polegar em Mola Congénito. O envolvimento do polegar noutras Deformidades […]
10º Simposium mundial de deformidades congénitas da mão e Membro Superior, Roterdão – Maio de 2015
Realizou-se em Roterdão, 7 a 9 de Maio de 2015. Apresentou o Tema Atipycal Radial Club Hand Summary: The goal of this paper is to present our casuistic of radial club hand with atypical features We have treated 14 child with radial club hand. Between of them we have two cases […]
Mão bota radial e cubital no 3º Congresso Nacional de Ortopedia Infantil. Tema Apresentado na Mesa Redonda “Malformações Congénitas da Mão” – Aveiro, 5 a 7 de Março de 2015
Neste trabalho foi apresentado e discutido a sua experiência pessoal no tratamento das deficiência longitudinais radial e cubital (mão bota radial e cubital), as suas formas de apresentação e as deformidades associadas. Abordei a problemática da deformidade e o seu impacto social e familiar e dei especial relevo às possibilidades […]
2º Curso Teórico-prático de Cirurgia da Mão do Centro Hospitalar do Porto/ICBAS
2º Curso Teórico-prático de Cirurgia da Mão a realizar no Instituto de Ciências Abel Salazar, 5 e 6 de fevereiro de 2015 com Treino cirúrgico em cadáveres curso-ma%cc%83o-2015-programa
As Sindactilias no VII Congreso Grupo Estudio Patología Extremidad Superior (GEPES) – La Corunha, 17 e 18 de Outubro de 2014
Palestrante convidado para integrar mesa-redonda sobre malformações congénitas da mão durante o sétimo Congresso do GEPES (Grupo de EstudIos de Patologia de la Extremidad Superior) a decorrer na Corunha em 17 e 18 de outubro de 2014. O tema da sua apresentação são as Sindactilias, trabalho baseado na sua experiência […]
Terceiro Congresso Luso-Espanhol de Cirurgia da Mão, Lisboa 15 a 17 de Maio de 2014
Palestrante convidado para integrar Mesa Redonda sobre Complicações das Artroplastias do Membro Superior. Na sua palestra apresentou as complicações das Artroplastias do punho. Fez uma Revisão da Bibliografia Internacional e comentou as Complicações ocorridasl, baseadas na sua experiencia com mais de nove anos de com as próteses totais do Punho.
Artroplastias de la Muñeca no 49º Congreso Sociedade Española de Cirurgia Ortopedica y Traumatóloga – Málaga, Espanha 3-5 outubro de 2012
Palestrante convidado pela Sociedade Espanhola de Cirurgia Ortopédica e Traumatológica para proferir uma apresentação versada ao tema da Artroplastia Total do Punho. A palestra esteve inserida numa mesa-redonda sobre Artroplastia do Membro Superior e nela foi exposta a experiência pessoal sobre a Protese Total do Punho.
Curso Avançado de Artroplastias de Punho e Mão
Realizou-se a 4 e 5 de maio de 2012, no ICBAS (Instituto de Ciências Biomédicas) no Porto, o Curso Avançado de Artroplastias de Punho e Mão, organizado pelos Drs. César Silva, José Manuel Teixeira e Miguel trigueiros. Curso patrocinado pela Sociedade Portuguesa Ortopedia e Traumatologia, pela Sociedade Portuguesa de Cirurgia da Mão pela Secção do Punho […]