Desde há 12 Anos, A Unidade de Cirurgia da Mão do Hospital de Santo António, tem vindo com regularidade, a efectuar este procedimento cirútgico.
Progressivamente, outros Centros de Cirurgia da Mão Portugueses têm vindo a escolher este método para tratamento dos seus Pacientes.
A convite dos Colegas Ortopedistas da Unidade da Mão do Hospital da Parede – Cascais, desloquei a este Hospital para integrei a referida Equipa Cirúrgica.
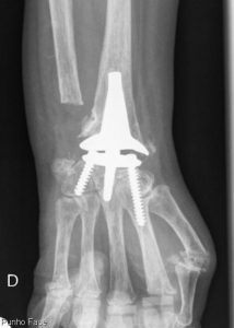
Foi com muito gosto que colaborei no tratamento de um doente com artrite do punho e efetuamos mais uma artroplastia total do punho.